CEREC Same-Day Crowns & Bridges in boise, id
Looking for a smile restoration, and fast? See what your smile could look like soon with CERC same-day crowns and bridges.
Smile Gallery
Decades of Wear and Tear Fixed in One Day
This patient was an older retired gentleman with 60 years of wear and tear to this teeth. The recession of his gums also creating black triangle spaces between his teeth where food repeatedly gets stuck. He wanted a result that gave him an same-day procedure that was economical and durable. We used Bioclear to fix his teeth in a single two-hour procedure.
Damaged Crowns Replaced With Natural, Beautiful Teeth
A college bike accident resulted in large, unaesthetic crowns on this patients two front teeth. He wanted a more esthetic result without crowning more teeth. The old crowns and damaged structure was removed. Two porcelain crowns were placed on two front teeth. The teeth next to the crowns were too small for his smile. We used an injection molding process called BioClear to build these two teeth up to the correct size and color to match his smile -all without having to drill anymore teeth. He now shows off a beautiful, natural, smile!
Breaking Front Teeth Transformed to a Natural, Strong Smile
This patient had discolored, chipped and breaking front teeth. He wanted an option that would repair his front teeth, and make them look natural, not like "I have crowns". All ceramic crowns were made to cover and strengthen his front teeth. He says people don't tell him "nice crowns", he wanted them to tell him "Nice Smile"!
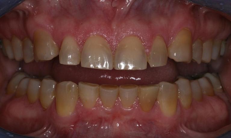
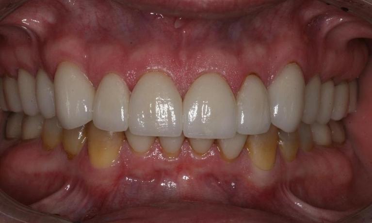
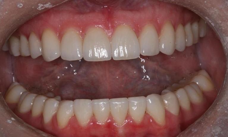
Full Mouth Makeover Gives Perfect Smile
This patient was experiencing several problems and needed a few procedures to achieve the smile she wanted. Years of drinking teeth-staining liquids like coffee, tea, and wine had left her teeth discolored, while crowding had left her teeth chipped and worn. We started with Invisalign® to give more space to overcrowded smile. Then, we added a few no-metal crowns and veneers to give a more even, youthful appearance to her front teeth. Finally, we whitened the rest of her smile to match. The final result, as you can see, is a smile that really pops!
Correcting Smile Worn Down by Grinding
This patient was a regular night-time teeth grinder, which left her with short, square teeth. By the time we started her treatment, she had already lost 20% of the length of her teeth. We started by adding some eMax crowns to her teeth to elongate the short teeth. Then we used our laser to recontour her gum line so that there wasn't as much variation. Now, this patient uses a night guard to prevent future wear and tear of her new smile!
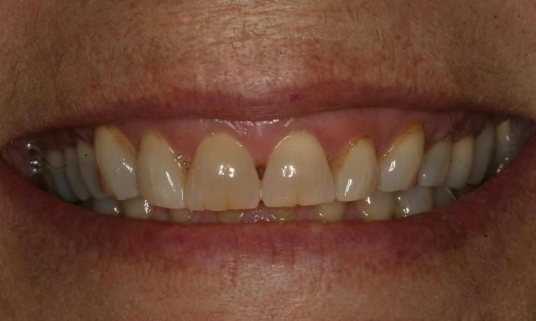
Removing Tetracycline Stains on Teeth
This patient had stained teeth from taking tetracycline as a child. He was also unhappy with the worn appearance and shape of his teeth, so we couldn't just whiten them. We started by applying crowns to cover his natural teeth, hiding the deep stains, and restoring the beautiful shape of the upper and lower teeth. Over the next year, the patient will focus on whitening the back teeth, giving a complete smile makeover.
Porcelain Crowns in One Visit
This patient hated the stains on her front teeth. In addition to the stains, she also had fractures behind her teeth and a crack down the front of one of her front teeth. We decided it was time for restorations to give her a brighter, more attractive smile. By placing same-day crowns with our CEREC machine, we were able to help her achieve a beautiful smile!
New Crowns for a Nervous Patient
A fear of the dentist created neglect that built-up over many years causing pain and embarrassment for this patient. We knew that we had to do some extensive work to help him correct his smile, so we used sedation dentistry to make him more comfortable and confident during his treatment. Then, we placed CEREC same-day crowns onto his teeth to give the final result. What a change!
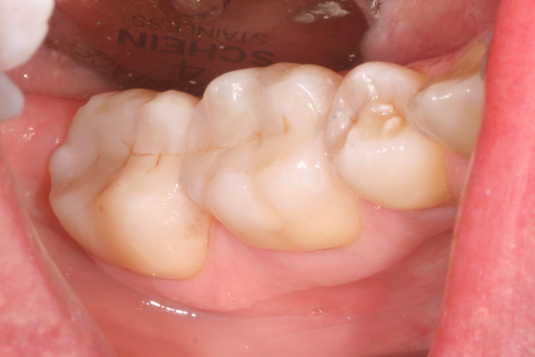
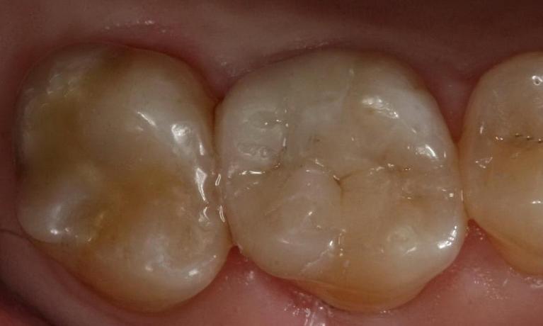
Replacing Silver Fillings
This patient was unhappy with their large, old silver fillings. We also found decay on the tooth once we removed the filling, so we had to start by removing all of the decay before we could move on. Then we were able to create a strong, natural looking insert to the tooth in a single visit. The result is a beautiful, long-lasting onlay restoration that will last for years.
Repairing Short Teeth
Aggressive wear made this patient hate the appearance of her teeth. We worked together to find a treatment plan that would give her a natural-looking, beautiful smile. After she completed a course of Invisalign®, we whitened her teeth and combined that with 6 veneers and 12 crowns. The after photo speaks for itself!















